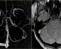
Технології та наука Ученые показали, что происходит в организме человека после вакцинации AstraZeneca (фото) 08.04.2021 11:44
Світ Великобританія відмовляється вакцинувати препаратом AstraZeneca громадян, молодше 30 років 07.04.2021 20:24
Світ Европейский регулятор подтвердил связь между тромбозом и вакциной AstraZeneca, - СМИ 06.04.2021 13:00
Україна Вакциновані Covishield українці можуть отримати взаємозамінну дозу вакцини AstraZeneca, — МОЗ 05.04.2021 16:33
Думки Нетиповий тромбоз. Що це таке і чому ризик померти від нього менший, ніж від коронавірусу Семен Єсилевський
Світ Очищення іміджу: AstraZeneca довелося перейменувати свою вакцину від коронавірусу 30.03.2021 13:30
Світ "Ризик тромбозу": Канада призупинила вакцинацію AstraZeneca для людей молодше 55 років 30.03.2021 10:14